+91 93444 16662
+91 93444 16663
No.3179, 1st Cross Arulanandha Nagar
Thanjavur - 613002
Home
About
Services
Facilities
Gallery
Interesting Cases
Events
Contact
Biopsy Interesting Cases
Home
Interesting Cases
Biopsy
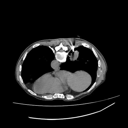
LUNG MASS BIOPSY, 45Y F
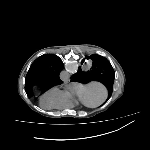
LUNG MASS BIOPSY, 70Y F
LUNG MASS BIOPSY, 70Y F
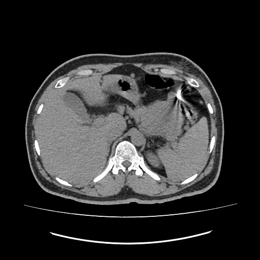
PANCRATIC BIOPSY, 34Y M